contentTop

Instituto de Anatomía Patológica

contentBottom

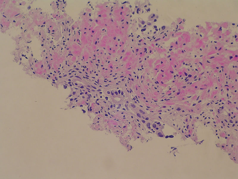
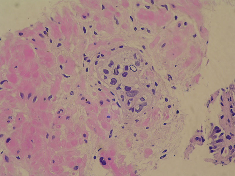
Caso Nº 1:

Paciente de 80 años, con carcinoma prostático diagnosticado hace 4 años, tratado con radioterapia.

DSCN0307 DSCN0312

Diagnóstico:

Cilindros biópsicos de Próstata con lesiones por radioterapia.

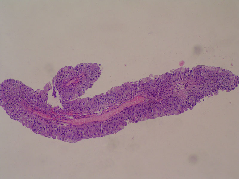
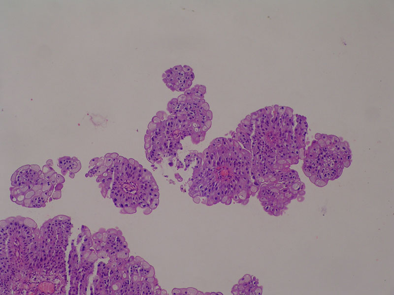
Caso Nº 2:

Varón de 26 años con lesión papilar única en vejiga. Sin recidiva por más de 2 años.

DSCN9987 DSCN9989 DSCN9993

Diagnóstico:

Papiloma Vesical.

[Inicio] [Staff] [Sedes] [Servicios] [Docencia e Investigación] [Trabajos científicos] [Casos de Interés Docente] [Informes]